Anti-Rho A + B + C Rabbit mAb #2440
Recombinant Antibody
Aliases
Ras Homolog Family Member A; RHOH12; Rho12; ARH12; ARHA; Transforming Protein RhoA; Epididymis Secretory Sperm Binding Protein; Ras Homolog Gene Family, Member A; Aplysia Ras-Related Homolog 12; Small GTP Binding Protein RhoA; Rho CDNA Clone 12; Oncogene RHO H12; EC 3.6.5.2; EDFAOB; RHO12; H12; Ras Homolog Family Member B; MST081; RHOH6; ARH6; ARHB; Rho-Related GTP-Binding Protein RhoB; Ras Homolog Gene Family, Member B; Rho CDNA Clone 6; Oncogene RHO H6; H6; Aplysia RAS-Related Homolog 6; MSTP081; Ras Homolog Family Member C; ARH9; ARHC; Rho-Related GTP-Binding Protein RhoC; Ras Homolog Gene Family, Member C; Rho CDNA Clone 9; H9; Epididymis Secretory Sperm Binding Protein; Small GTP Binding Protein RhoC; RAS-Related Homolog 9; Oncogene RHO H9; RhoC GTPase; RHOH9
Background
UniProt Entry: P61586/P62745/P08134
NCBI Gene Entry: 387/388/389
Application Information
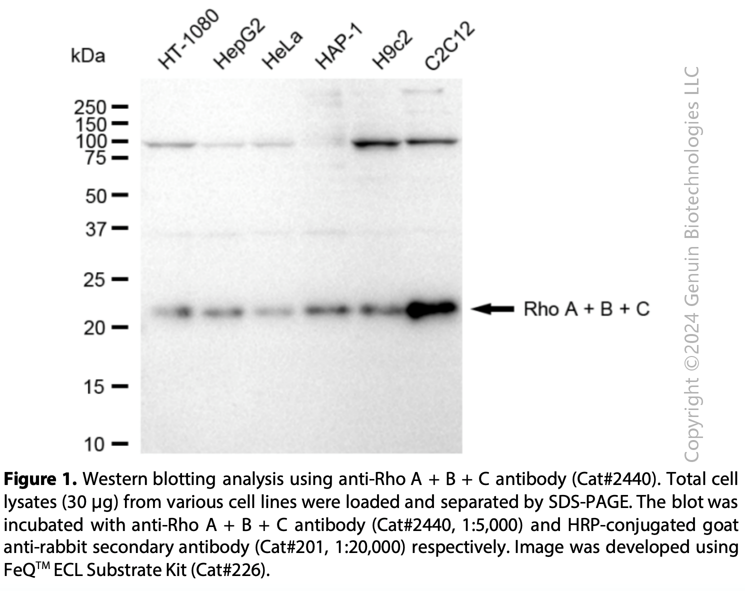
Molecular Weight: Predicted, 22 kDa; Observed, 22 kDa
Clonality: Rabbit monoclonal antibody
Clone ID: 24GB850
Species Reactivity: Human, Mouse, Rat
Applications Tested: Western blotting (WB), Immunocytochemistry (IC), Flow Cytometry (FCM)
Immunogen
A synthesized peptide derived from human Rho A + B + C
Isotype
Rabbit IgG
Storage Buffer
Supplied in PBS (pH 7.4) containing 50% glycerol and 0.02% sodium azide.
Storage
Store at -20 °C for one year.
Recommended Dilution
Western blotting (WB): 1:1,000-1:5,000
Immunocytochemistry (IC): 1:1,000
Flow Cytometry (FCM): 1:2,000
