Anti-Perilipin 3 Mouse Monoclonal Ab #2864
Aliases
PLIN3; Perilipin 3; TIP47; PP17; Placental Protein 17; M6PRBP1; Mannose-6-Phosphate Receptor-Binding Protein 1; Cargo Selection Protein TIP47; 47 KDa MPR-Binding Protein; Perilipin-3; Cargo Selection Protein (Mannose 6 Phosphate Receptor Binding Protein); 47 KDa Mannose 6-Phosphate Receptor-Binding Protein; Mannose-6-Phosphate Receptor Binding Protein 1; Testicular Tissue Protein Li 114; Tail-Interacting Protein, 47 KD; MPR-BINDING PROTEIN, 47-KD
Background
Gene Name: PLIN3
UniProt Entry: O60664
NCBI Gene Entry: 10226
Application Information
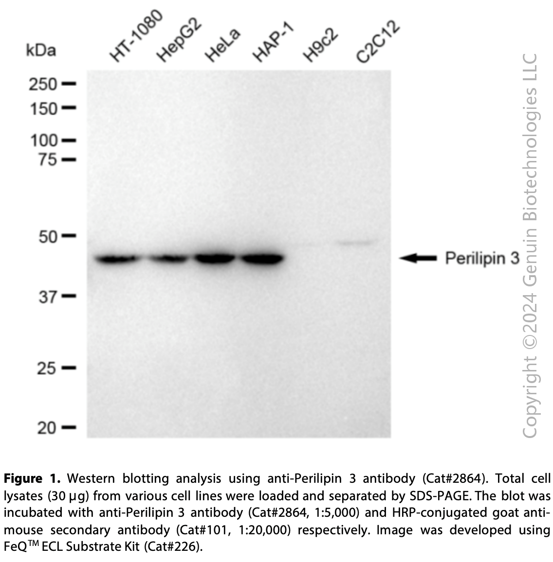
Molecular Weight: Predicted, 47 kDa, observed, 47 kDa
Clonality: Mouse monoclonal antibody
Clone ID: 24GB2900
Species Reactivity: Human
Applications Tested: Western blotting (WB)
Immunogen
Recombinant protein of human TIP47.
Isotype
Mouse IgG2a kappa
Storage Buffer
Supplied in PBS (pH 7.4) containing 50% glycerol and 0.02% sodium azide.
Storage
Store at -20 °C for one year.
Recommended Dilution
Western Blotting (WB): 1:2,500-1:5,000
