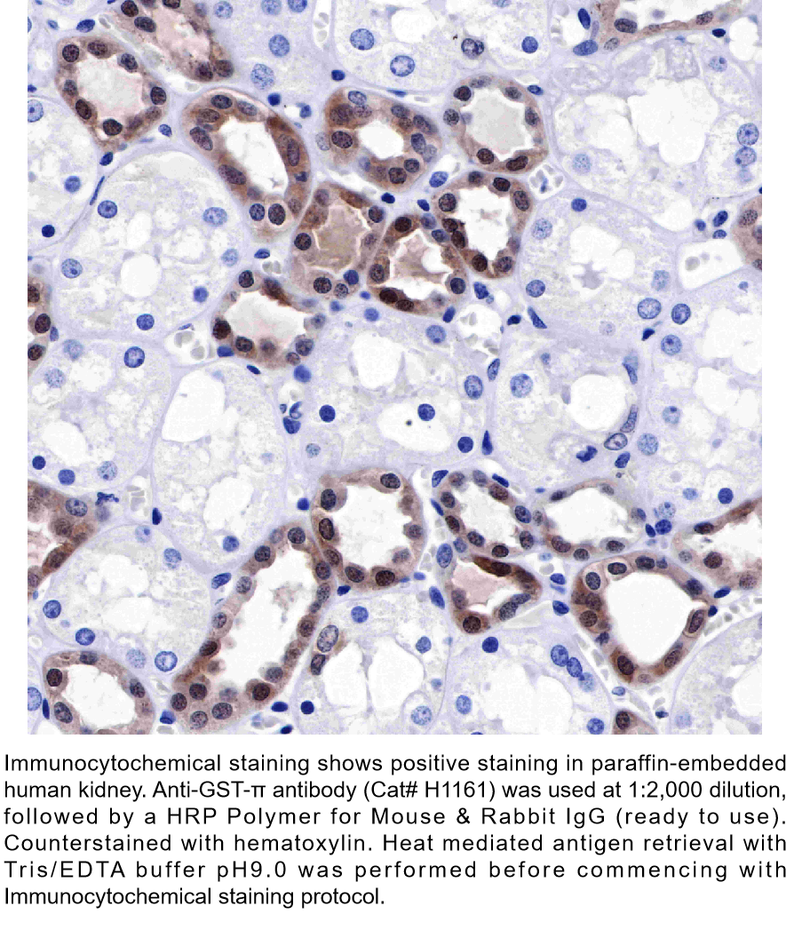
Anti-GST-π Rabbit Monoclonal Ab #H1161
$109.00Price
Recombinant Antibody
Aliases
GSTP1; Glutathione S-Transferase Pi 1; FAEES3; GSTP; GST3; Glutathione S-Transferase P; GST Class-Pi; EC 2.5.1.18; GSTP1-1; Fatty Acid Ethyl Ester Synthase III; Epididymis Secretory Protein Li 22; Deafness, X-Linked 7; HEL-S-22; DFN7; PI
Background
Gene Name: GSTP1
UniProt Entry: P09211
NCBI Gene Entry: 2950Application Information
Clonality: Rabbit monoclonal antibody
Clone ID: SDT-R054
Species Reactivity: Human, mouse, rat
Applications Tested: Immunohistochemistry-paraffin (IHC-P)
Isotype
Rabbit IgG
Storage Buffer
Supplied in PBS (pH 7.4) containing 40% glycerol, 0.05% BSA and 0.03% Proclin 300.
Storage
Store at -20 °C for one year.
Recommended Dilution
Immunohistochemistry-Paraffin (IHC-P): 1:1,000
