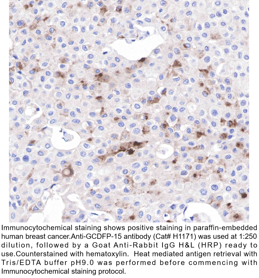
Anti-GCDFP-15 Rabbit Monoclonal Ab #H1171
$109.00Price
Recombinant Antibody
Aliases
PIP; Prolactin Induced Protein; GCDFP-15; GCDFP15; GPIP4; SABP; Gross Cystic Disease Fluid Protein 15; Secretory Actin-Binding Protein; Prolactin-Inducible Protein; BRST-2; Prolactin-Induced Protein; Apocrine; Gp17
Background
Gene Name: PIP
UniProt Entry: P12273
NCBI Gene Entry: 5304Application Information
Clonality: Rabbit monoclonal antibody
Clone ID: SDT-010-579
Species Reactivity: Human
Applications Tested: Immunohistochemistry-paraffin (IHC-P)
Immunogen
A synthesized peptide derived from human GCDFP-15
Isotype
Rabbit IgG
Storage Buffer
Supplied in PBS (pH 7.4) containing 40% glycerol, 0.05% BSA and 0.03% Proclin 300.
Storage
Store at -20 °C for one year.
Recommended Dilution
Immunohistochemistry-Paraffin (IHC-P): 1:500
