Anti-G protein-coupled receptor kinase 6 Rabbit mAb #3646
Recombinant Antibody
Aliases
GRK6; G Protein-Coupled Receptor Kinase 6; GPRK6; EC 2.7.11.16; G Protein-Coupled Receptor Kinase GRK6; EC 2.7.11
Background
UniProt Entry: P43250
NCBI Gene Entry: 2870
Application Information
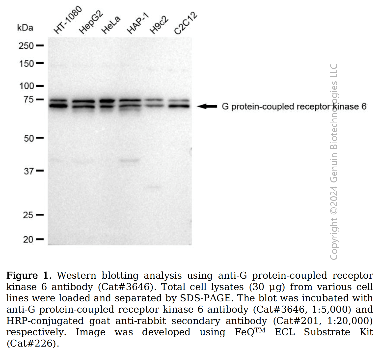
Molecular Weight: Predicted, 66 kDa; Observed, 66 kDa
Clonality: Rabbit monoclonal antibody
Clone ID: 23GB1500
Species Reactivity: Human, Mouse, Rat
Applications Tested: Western blotting (WB); Flow cytometry (FCM); Immunocytochemistry (IC)
Immunogen
A synthesized peptide derived from human GRK6
Isotype
Rabbit IgG
Storage Buffer
Supplied in PBS (pH 7.4) containing 50% glycerol and 0.02% sodium azide.
Storage
Store at -20 °C for one year.
Recommended Dilution
Western blotting (WB): 1:1,000-1:5,000
Flow cytometry (FCM): 1:2,000
Immunocytochemistry (IC): 1:1,000
