Anti-Kinesin Associated Protein 3 Rabbit mAb #3051
Recombinant Antibody
Aliases
KIFAP3; Kinesin Associated Protein 3; SMAP; KAP3; Kinesin-Associated Protein 3; KAP-1; FLA3; Smg GDS-Associated Protein; KAP-3; Small G Protein GDP Dissociation Stimulator; DJ190I16.1; Smg GDS; Smg-GDS; KIF3AP
Background
Gene Name: KIFAP3
UniProt Entry: Q92845
NCBI Gene Entry: 22920
Application Information
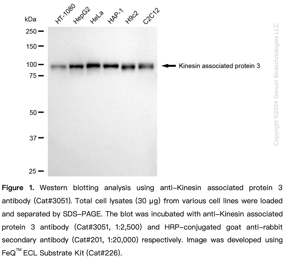
Molecular Weight: Predicted, 91 kDa, observed, 100 kDa
Clonality: Rabbit monoclonal antibody
Clone ID: 24GB3820
Species Reactivity: Human, mouse, rat
Applications Tested: Western blotting (WB), flow cytometry (FCM)
Immunogen
A synthesized peptide derived from human KIFAP3
Isotype
Rabbit IgG
Storage Buffer
Supplied in PBS (pH 7.4) containing 50% glycerol and 0.02% sodium azide.
Storage
Store at -20 °C for one year.
Recommended Dilution
Western Blotting (WB): 1:1,000-1:5,000
Flow Cytometry (FCM): 1:2,000
